What is a Dental Crown? How Is It Applied?
Modern dentistry offers different treatment options for people who want to have a better smile. Dental crowns, one of the popular dental treatments in recent years, is mainly applied for aesthetic purposes to improve the shape, size and color of patients’ teeth.
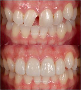
In the event that cavities form on the teeth and affect their aesthetic appearance, the procedure of covering the teeth using different materials to restore their former appearance after cleaning the cavities of the teeth is called dental crown. The dental crown can be applied in cases such as tooth decay, fractures in fillings and the treatment of voids (area without teeth) in the mouth. From this point of view, it can be said that the dental crown is one of the most functional and protective dental procedures.
Why is a Dental Veneer/Crown Applied?
Dental Veneers; It is a dental treatment applied to the front side of teeth to eliminate problems such as enamel wear, irregular alignment or gap between teeth, tooth discoloration or tooth decay. dental cracks.
The dental veneer applied to the anterior surfaces of the teeth is actually a very thin shell made of composite or porcelain in the color of the teeth and has many different advantages.
The treatment of dental veneers which can be applied for functional or aesthetic purposes, but the cases where veneers cannot be applied are tooth decay, filling of fractures and dental deficiencies in the mouth.
The dental crown is one of the most important elements of protective dentistry and can be applied for functional purposes. In this context, if there is a missing tooth and a dental implant treatment is not applied, the neighboring teeth to the right and left of the missing tooth are reduced according to certain principles and a bridge is applied.
In cases where there is excessive discoloration or severe loss of shape in the teeth, the crown can be used.
Variety of Dental Crowns
The method that will be applied in the treatment of dental crowns differs depending on the patient. Tooth crown; There are varieties such as porcelain, all-ceramic crown, zirconia crown, and metal-backed crown.
Prior to crown application, the dentist must decide if the patient is a suitable candidate for the procedure. For this, intraoral dental photographs and X-rays of the patient are taken. If a decision is made on suitability for treatment, a small piece of tooth enamel is removed after local anesthesia is applied to prepare the tooth for crown treatment. Impressions of the teeth are taken with a standard paste size or an intraoral scanner.
The color guide is used to select a color that matches the natural color of the teeth. The patient’s teeth are evaluated. The size and color tone are sent to the lab for a dental crown to be fabricated to be exactly compatible with the patient’s natural teeth. In the meantime, the dentist prepares a temporary crown for the patient to use until the permanent crown arrives.
When the dental crowns are ready, the temporary crowns are removed and new crowns are placed to check if they cause any discomfort to the patient. If there are no problems, the crowns are permanently attached.
How long does the dental crown last?
The life of the dental crown can vary from ten years and more depending on the type of crown applied on a patient specific basis. The period of durability of dental crowns may vary depending on the material used, as well as the attention the patient gives to oral care. After dental crowns are done, oral care should be done completely and at the same time routine dental checkups should not be interrupted.
How long does a dental crown last?
If dental crown cleaning is done well and routine maintenance procedures are not interrupted, the lifespan of dental crowns can be over 10 years. However, it should be remembered that the lifespan of each dental coating is not the same. Since some of the materials used in the treatment of dental crowns are more durable than others, it may be possible to use them for longer periods of time, provided proper care and attention is given to certain points.
The lifespan of dental crowns may vary depending on the patient’s personal lifestyle, habits, oral hygiene practices and the wear properties of dental crowns. However, it is possible to mention an average lifetime for zirconium and coatings.
The lifespan of porcelain dental crowns ranges from about 10 to 12 years. This lifespan can be extended if proper oral care is performed and gum health is maintained after porcelain dental crowns are treated.
Zirconium porcelain crowns made from zirconium which is a biocompatible material, are more durable than porcelain. Zirconia crowns can be used for 12 to 15 years on average.
Under normal conditions, it is considered a natural situation for dental coatings to weaken and wear down over time due to various factors. However, there is a risk that lifestyle habits further accelerate this process. On the other hand, gum health is one of the most important factors that determine the life of a dental crown.
Gingival recession leads to the deterioration of the harmony of the edges of the dental coatings and the loss of the dental protective property to which it adheres. Consequently, at the end of this period it becomes necessary to change the dental coatings.
How to Extend the Life of Dental Crowns?
One of the most important things to consider in order to extend the life of dental crowns is to avoid clenching your teeth. Squeezing can lead to wear and cracking of tooth coatings. For this reason, people who have teeth grinding problems (bruxism), these people should not neglect to use a gutter, especially during sleep, to protect their dental crowns. The aligner manages to protect not only the dental crowns but also the natural teeth of the individual’s mouth from excessive clenching force of the teeth.
To make dental crowns last longer, the teeth should be brushed twice a day and the necessary cleaning should be done with dental floss. When cleaning teeth, special attention should be paid to the area around dental crowns, especially the gum line. The application of correct and regular oral care also minimizes the risk of cavities in the area under the dental crowns.
In order to use dental veneers for many years in a healthy way, it is very important not to bite your nails and not to bite on hard objects such as nuts and ice cream. People with such habits are very likely to damage not only their dental crowns, but also their natural teeth.
Regular dental examinations should not be neglected in order to protect oral health. Possible cavities and potential problems can be diagnosed and treated at an early stage with regular dental check-ups. In this way, a significant advantage can be obtained in terms of longer life of dental crowns.
Metal-backed porcelain crowns and zirconia crowns play an important role in providing an aesthetic and natural appearance in the mouth and a comfortable chewing function. Due to their durability and high strength, monolithic zirconia crowns can retain their durability longer than general porcelain dental crowns.
The use of esthetic but more fragile all-ceramic crowns in areas where chewing force is high, such as bridges or the molar area, can increase potential fracture problems. For this reason, it is more appropriate to prefer durable materials such as monolithic zircon in long cavities and molars.
Don’t hide your smile! Live more freely with your Smile…
Get Free Quote
If you ask what should be done for a smile, your doctor should first check your mouth and tooth structure. He will then offer you tailored treatments and answer your question. To get information about beautiful smile, you can call us, fill out our consutlation form or send a message directly via Whatsapp.



The quality of the bone is also one of the factors affecting the success of the implant. In addition, before the treatment and as long as the implant remains in the mouth, the gums must be completely healthy.
As you get older, tooth loss increases due to reasons such as decay and gum problems. As increasing tooth loss makes it difficult to eat and drink, it has a very negative effect on the life comfort of elderly individuals. Nutritional problems that occur with or without chronic diseases are also the trigger of different health problems.

The aesthetic dental smile we call Hollywood Smile can be applied to almost every person (over 18 years old). Only the way of application can change. In some people, the application can be made with no or very little shaving of the tooth. This application can generally be laminated (veneers). For people who cannot be laminated, crown application can be preferred. These are E-max Crowns, zirconium, metal supported coating etc.
Laminate veneers are aesthetic restorations that are applied in enamel defects, tooth discoloration, diestema (the presence of gaps between the teeth), bent and worn teeth, and especially in young patients with large pulp sizes, as an alternative to 
What to do for a beautiful smile? Orthodontic treatment can be applied at any age. It depends on the extent of the dental problem but is usually a long-term treatment. It is based on the installation of a special device for repositioning the tooth.

The molars are the teeth at the back of the teeth that help break down food. The risk of breaking molars is lower than anterior teeth, but there is still a possibility of fracture. A broken molar can cause toothache, bleeding in the gingival membrane, and infection. The treatment of broken molars is treated after the examination by the dentist.
